عفونت لثه بعد از کامپوزیت

عفونت لثه بعد از کامپوزیت

یکی از عوارض کامپوزیت که بسیار رایج است عفونت و التهاب لثه می باشد. از مهمترین علائم عفونت و التهاب لثه پس از انجام این کار خونریزی و بوی بد دهان هستند. بهترین راه پیشگیری از حاد شدن این مشکل تشخیص عفونت و التهاب لثه در زمان صحیح و اقدام سریع به درمان آن می باشد. در صورت مشاهده علائم عفونت و التهاب لثه بعد از کامپوزیت به منظور پیشگیری از پیشرفت آن باید بلافاصله به دنبال درمان آن باشید.

روش درمان التهاب و عفونت لثه بعد از کامپوزیت مانند روش های درمان دیگر بیماری های لثه همچون عفونت لثه می باشد. اگر پس از انجام کامپوزیت دندان دچار التهاب لثه شدید جای هیچ گونه نگرانی وجود ندارد. همواره توصیه می شود در اسرع وقت برای درمان این مشکل به پزشک متخصص مراجعه نمایید. پزشک متخصص به منظور از بین بردن تجمعات پلاک ها و باکتری ها از روش های حرفه ای جرم گیری استفاده خواهد کرد. استفاده از این روش ها التهاب لثه را تا حد زیادی کاهش خواهد داد.

عفونت و التهاب لثه بعد از کامپوزیت

علائم عفونت و التهاب لثه بعد از کامپوزیت

عفونت و التهاب لثه یکی از مشکلاتی است که به دلیل عدم رعایت بهداشت پس از کامپوزیت دندان با آن مواجه خواهید شد. دلایل التهاب و عفونت لثه بعد از کامپوزیت متفاوت هستند. علائم و شدت این بیماری برای افراد مختلف متفاوت است. به خاطر داشته باشید که کنترل و درمان عفونت و التهاب لثه از اهمیت بسیار زیادی برخوردار هستند زیرا عدم درمان و کنترل این مشکل در زمان مناسب استحکام دندان های شما را از بین خواهد برد. از مهمترین علائم این مشکل می توان به بوی بد دهان و خونریزی لثه اشاره کرد اما به خاطر داشته باشید که بروز آن باعث ناراحتی شما در طول روز و هنگام سرو یک غذای خوب خواهد بود. از مهمترین علائم عفونت و التهاب لثه پس از کامپوزیت می توان به موارد زیر اشاره کرد:

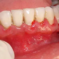
خونریزی لثه بعد از کامپوزیت

اگر شما هنگام مسواک زدن یا غذا خوردن دچار خونریزی لثه می شود با عفونت و ورم لثه مواجه شده اید. برای رفع این مشکل توصیه می شود به طور منظم و دائم از مسواک و نخ دندان استفاده کنید. در صورت جدی نگرفتن مسواک و نخ دندان پلاک ها در مکان اتصال لثه به دندان باقی خواهند ماند. این امر باعث ایجاد التهاب و عفونت لثه پس از کامپوزیت خواهد شد.

خونریزی لثه

بوی بد دهان

افراد در موقعیت های مختلف بوی بد دهان را تجربه نموده اند اگر این بوی بد به صورت دائم باشد از مهمترین نشانه های عفونت و التهاب لثه است. انتقال باکتری ها به زیر لثه باعث ایجاد این بوی بد خواهد شد. در این شرایط استفاده از نخ دندان و مسواک برای رفع این مشکل فایده ای ندارند.

التهاب و قرمزی لثه ها

در صورت عدم درمان عفونت لثه در زمان مناسب این بیماری خود را به صورت جدی نمایش خواهد داد. در این شرایط با التهاب لثه مواجه خواهید شد. با رسیدن به این مرحله لثه ملتهب دردناک خواهد شد و دندان لق می شود. به منظور پیشگیری از این بیماری توصیه می شود به پزشک مراجعه کنید. در موقعیت جدی لثه از دندان عقب نشینی خواهد کرد و لثه به صورت کیسه ای می شود.

التهاب و قرمزی لصه

تغییر یافتن فاصله بین دندان ها

در صورت ابتلا به عفونت یا ورم لثه بعد از کامپوزیت با گذشت زمان دندان های شما به عقب یا جلو متمایل خواهند شد.

دلایل ایجاد عفونت و التهاب لثه بعد از کامپوزیت

از مهمترین دلایل التهاب و عفونت لثه پس از کامپوزیت می توان به عدم رعایت اصول بهداشتی دهان و دندان پس از نصب باندینگ اشاره کرد. حساس شدن لثه های شما ممکن است باعث شود به خوبی قادر به استفاده از مسواک و نخ دندان نباشید. در این شرایط مسواک و نخ دندان ممکن است باعث تشدید التهاب و عفونت لثه شوند. از دیگر دلایل افزایش تجمع پلاک های دندانی که التهاب و عفونت لثه را به همراه دارند استعمال دخانیات می باشد. در صورت عدم رعایت استانداردهای لازم برای نصب باندینگ توسط دندانپزشک ذرات و باقیمانده غذا در این فاصله جمع شده و التهاب و عفونت لثه را افزایش می دهند.

در صورت رعایت بهداشت دهان و دندان به خوبی پس از کامپوزیت و انتخاب دندانپزشک زیبایی باتجربه و چیره دست برای این کار پس از باندینگ احتمال عفونت لثه تا حد زیادی کاهش خواهد یافت.

دلایل عفونت لثه

چطور می توان عفونت و التهاب لثه پس از کامپوزیت را درمان کرد؟

پس از گذشت یک هفته تا ده روز پس از کامپوزیت التهاب لثه با انجام اقدامات خانگی رفع خواهد شد. به منظور پیشگیری از عوارض کامپوزیت می توانید موارد زیر را نیز انجام دهید.

  • برای درمان عفونت و التهاب لثه پس از کامپوزیت مدیریت استرس از اهمیت ویژه برخوردار است. زیرا استرس بالا باعث تشدید التهاب و عفونت لثه خواهد شد.
  • پس از صرف غذا به مقدار زیاد آب بنوشید.
  • با مصرف مکمل های ویتامین  C میزان دریافتی این ویتامین را افزایش دهید. برای این منظور می توان استفاده از میوه ها و سبزیجات را نیز افزایش داد.
  • غرغره کردن دهان با آب نمک چند بار در روز
  • مصرف داروهای ضد التهاب و مسکن های بدون نیاز به نسخه به منظور تسکین ناراحتی
  • رعایت بهداشت دهان و دندان با دقت و استفاده از نخ دندان و مسواک با ملایمت به منظور پیشگیری از تحریک بیشتر لثه ها
  • ترک دخانیات به دلیل افزایش میزان عفونت و التهاب لثه ها
  • استفاده از دهانشویه ملایم به صلاحدید دندانپزشک

در صورتی که این توصیه ها را رعایت نمودید اما ورم و حساسیت لثه شما همچنان ادامه داشت بهتر است به دندانپزشک مراجعه نمایید.

جرمگیری دندان و روت پلنینگ عمده ترین روش درمان التهاب لثه پس از کامپوزیت می باشد. جرم ها و باکتری های موجود روی دندان ها و زیر لثه را می توان از طریق جرمگیری پاک کرد. انجام روت پلنینگ باعث صاف شدن سطح ریشه ها شده و از چسبیدن باکتری ها جلوگیری به عمل می آورد. در صورت موفقیت آمیز نبودن این روش ها و تشدید التهاب لثه توصیه می شود جراحی لثه انجام دهید.

مطالب مرتبط
5 Responses
  1. سلام
    من دیروز خواستم کامپوزیت کنم ولی وقتی قالب گذاشتن و مواد کامپوزیتو گذاشتم روی دندونم لثه ام خون اومد
    من هفته پیش لثه هامو لیفت کردم و اینکه اون قالبو خیلییییییی با فشار و محکم تو لثم فشار دادن
    و خونشم سریع بند اومد
    از چی می‌تونه باشه این خونریزی ؟

  2. سلام خسته نباشید من دندونمو کامپوزیت کردم بعد ۴ماه الان مسواک میزنم از لثم خون میاد بعد دهنم بو گرفته و لایه دندونم من باید چیکار کنم

دیدگاهتان را بنویسید

نشانی ایمیل شما منتشر نخواهد شد. بخش‌های موردنیاز علامت‌گذاری شده‌اند *